Зубы на всю челюсть за 1 день | Постоянный протез сразу на 4 имплантах | Имплантация, протезирование зубов на 4 за 1 день
Чтобы максимально исключить риски приживаемости до 100%, мы сделали доступную цену за премиальные импланты! Только ПРЕМИАЛЬНЫЕ ИМПЛАНТЫ 5-го поколения из Швейцарии и США по цене АЗИАТСКОГО ЭКОНОМ СЕГМЕНТА!
Для просмотра видео наших работ жмите сюда
All-on-4 в клинике НЕВАТЕКС.МОСКВА
У нас хирургическая стерильность
Консультация бесплатно
Керамокомпозитный протез конструктивно готов к постоянной нагрузке. Включён в стоимость акции. Замены не требуется.
возможна операция во сне
пробуждение в уютной палате
под цифровым мониторингом
МЫ УВЕЛИЧИЛИ КОНВЕРСИЮ ИНТЕЛЛЕКТУАЛЬНОГО КЕЙСА ALLON4 ДО МЕЖДУНАРОДНОЙ КОНВЕНЦИИ
ЛЕГЕНДАРНАЯ КОМАНДА
ГЛАВ ВРАЧЕЙ И ПРИЗНАННЫХ АВТОРОВ
ДОКАЗАТЕЛЬНЫХ МЕТОДИК В КРУПНЕЙШЕМ СТОМАТОЛОГИЧЕСКОМ ЦЕНТРЕ РФ
Дорогие, Уважаемые пациенты,
будьте внимательны
Мы расширились
и с 15 сентября принимаем Вас
по новому адресу
Это всего 500 метров
от привычного для Вас адреса
Это исторический символ Москвы
Это часть городского наследия
История Трёхгорки - это история нашей Столицы и история Российского предпринимательства
Наш адрес: Трёхгорный вал д. 12 стр. 2
Клиника дентальной имплантации и доказательной хирургии ОООНЕВАТЕКС.moscow основана в 2001 году
Более 25-ти лет мы работаем по адресу г. Москва, ул. Пресненский вал д 8, корп 3
И с 15 го сентября
ПРИНИМАЕМ ПО НОВОМУ АДРЕСУ
Трехгорный вал 12 стр 2
метро Улица 1905 года
Бесплатный номер по России: 88007001938
В то время мы начали ставить имплантаты
В то время совсем не было врачей с опытом и отдалёнными результатами...
Спросить было не у кого
Сегодня можно спросить у нас
Формат клиники был выбран ХИРУРГИЧЕСКИЙ
Мы оперируем 25+ лет и иногда сочиняем стихи
и монтируем ролики, между 50 ю тысячами успешно нагруженных имплантатов)
Уважаемые пациенты!
Уважаемые коллеги!
Всё, что Вы прочитали на нашем сайте, является интеллектуальной собственностью и относится к объектам патентных прав.
ФЕДЕРАЛЬНАЯ СЛУЖБА ПО ИНТЕЛЛЕКТУАЛЬНОЙ СОБСТВЕННОСТИ
(РОСПАТЕНТ)
Подробнее можно ознакомиться, пройдя по ссылке:
Электронные охранные документы
https://fips.ru/EGD/ccad430e-e308-4811-a3c7-77e90f4f44b3
Автором патента является руководитель и основатель
ООО НЕВАТЕКС.moscow
Онучин Данила Николаевич.

Исключительное право патентообладателя состоит в том, что только
ООО НЕВАТЕКС.moscow может осуществлять все виды
технологической и коммерческой реализации
запатентованного объекта (ст. 1406.1 ГК).
|
Обучаем ортодонтов в связке с ЧЛХ - ортогнатической хирургией. |
![]() |
Этот ролик мы сделали для наглядности
Это эксклюзивная анимация от
All-on-4.НЕВАТЕКС.moscow
Вы получите ответы на все вопросы
ПРИЯТНОГО ПРОСМОТРА)))
А теперь стихи...
Грыз зубочистки как бобёр
И пылесосил Я ковёр
Я был зубастый мужиЧок
И не любил вареный кабачок
Зубами Воблу
Разрывал на части
И было это
При Советской Власти.
Зубов уж нет
Ковры не в моде
И Я не старый ещё вроде
В инете много разных цен
Поможет только ИмплантМен
![]() |
В стоимость акции полностью включен весь комплекс:
удаление зубов в подарок
Постоянный керамокомпозитный протез в подарок
с Вами работают Легендарные врачи челюстно-лицевые хирурги со стажем 25 лет работы в стационарах
Ортопеды-гнатологи со стажем 25 лет, являющиеся Главврачами ортопедических отделений в ведущих федеральных центрах.
СНЯТИЕ НАПРЯЖЕННОСТИ В СЕДАЦИИ
Пациенты часто задают нам вопрос: почему Вы не делаете пластиковые зубы за один день? 1. В месте операции наложены швы и в течении часа образуется отек (подтекание крови в рану) и держится 2-3 дня. Мы не делаем адаптационные, то есть быстрые пластмассовые протезы за один день, потому что форма временной конструкции не меняется, а при уменьшении отека, а это 4-6й день после операции - объем кости в месте прилегания к протезу становится значительно меньше и при конечном формировании костного рельефа образуется огромное промывное пространство между зоной операции (своей десной) и искусственной десной.
2. После заживления раны временный протез, изготовленный за один день зафиксирован сразу в день операции, без примерки каркаса. Снимать швы не откручивая протез не удобно - это мучение и для пациента и для хирурга. При этом в протезе ослаблять винты и притягивать обратно к имплантам с усилием не рекомендуется. Это крайне высокий риск снизить ТОРК (стабильность крутящего момента импланта с еще несформировавшейся костной структурой). 3. Адаптационный временный протез не имеет жёсткой шинирующей балки (при армировке часто используют ортодонтическую проволоку, чтобы протез не развалился), а значит нагрузка не распределяется равномерно на все четыре импланта в сравнении с 14-ю своими зубами. Каждый зуб не может работать отдельно, так же как и каждый имплантат не может в одиночку без рисков недопустимой микроподвижности снимать полный стресс нагрузки жевательных мышц. Вывод прост и основан на нашей практике в 1/4 века и тысячах операций All-on-4.
Без запатентованного технологичного армирующего каркаса, жевательный стресс сразу после операции локально перегружает каждый имплантат, увеличивая риск снижения стабильности и негативно влияет на метаболический ответ трабекулярной кости, стимулируя не контролируемый рост сосудов(фиброз), препятствуя фактору, стимулирующему рост и образование первичной костной структуры.
При изготовлении постоянного конструктива(начинки) протеза применяется технологичное литье MESA Magnum H50 с прессованием (Ti)титана 5 Grade. Отдельное и самое важное посещение пациента на 3 й день после операции - примерка гибридной балки гребнки, армирующей базу где распределяется пиковая нагрузка зубов - это и есть *скелет постоянной конструкции и основа привычных жевательных нагрузок.
5. После трех примерок логично дождаться, когда сойдет отек - это зависит от индивидуальной реактивности организма. На 5-7й день мы снимаем швы и плотно к мягким тканям (десне) фиксируем постоянный керамокомпозито-наполненный протез на винтах, точно повторив рельеф альвеолярного гребня (челюсти) и базы протеза. На 6 ти имплантах 14 зубов
При сохранившемся объеме альвеолярного гребня протез возможно выполнить без искуственной десны (без розовой эстетики)
![]()
Тимощенко Олег Валерьевич ДОКТОР-ХИРУРГ И НАШ ПАЦИЕНТ
Кандидат медицинских наук, врач-детский хирург, врач высшей категорииВнимательно читайте ОТЗЫВ доктора, который на себе испытал нашу работу, нашу стерильность и сделал себе зубы на 6-ти имплантах NOBEL Parallel CC на верхней челюсти.
Первичный приём произвёл очень хорошее впечатление.
Просто предлагают присесть на стул у большого плазменного экрана.
Специальной камерой снимают фрагменты того, что осталось у тебя во рту и выводят всё это на экран.
Тебе остаётся только выбрать методику «All-on-4» или «All-on-6» и вид имплантатов.
Что касается самой операции, скажу только одно: «НЕ БОЛЬНО!!!». Длится процедура около часа, а потом начинаются сплошные приятные моменты от моделирования твоей будущей челюсти, выбора цвета и формы до непосредственного надевания новых зубов. Этот момент ни с чем не сравним! И ты говоришь себе: «Да, я сделал это! Я – молодец!»
Жмите на нужный раздел или листайте ниже..
|
|
Видео - отзывы пациентов Неватекс
Смотреть со звуком
Больше видео постоянных зубов и отзывов в Я.ДЗЕН - перейти!
Еще больше видео отзывов пациентов клиники "Неватекс" - на нашем Я.ДЗен-канале! Жмите на ссылку>>
Свежие акции на имплантацию Олл он фо
АКЦИЯ №1
АКЦИЯ №1. All-on-4 под ключ НА ИМПЛАНТАХ NOBEL BIOCARE (SWISS) ЗА ОДИН ДЕНЬ, ВКЛЮЧЕНЫ ВСЕ РАБОТЫ
Ставим только премиум импланты 5 го поколения, оригинал из США, ШВЕЙЦАРИИ с 20-ти и 50-ти летним реальным сроком эксплуатации под нагрузкой.
САМЫЕ ПЕРЕДОВЫЕ И НАДЕЖНЫЕ ИМПЛАНТЫ В МИРЕ - Nobel Biocare (SWISS)
Подробнее об имплантатах NOBEL PARALLEL CC/Active - переход на официальный сайт NOBEL ( ЖМИ СЮДА )
198 000 руб на имплантах(NOBEL) ОДНА ЧЕЛЮСТЬ All on 4
297 000 руб на имплантах (NOBEL) одна челюсть All on 6
В стоимость акции включен постоянный протез без оплаты.
ALL-on-4 во сне
В Цену 198 000 руб (All on 4)NOBEL 12 зубов
и 297 000 руб (All on 6)NOBEL 14 зубов
включены удаления зубов и постоянный керамокомпозито-наполненный протез 0 руб. на гибридной балке, армирующей базу протеза, не требующий перепротезирования:
Установка 4-х премиум имплантов NOBEL PARALLEL/Active CC
Установка мультиюнит абатментов
Установка несъемных композитных зубов (винтовая фиксация), армированных литой балкой и каркасом на титановой основе для постоянных нагрузок, протез менять не надо - включено в стоимость акции.
![]() |
Внимательно ознакомьтесь, в стоимость включены манипуляции:
Изготовление(три примерки) и винтовая фиксация постоянного протеза включена в стоимость
Удаление зубов, любой сложности бесплатно
Удаление кист, любой сложности, в костной ткани бесплатно
Устранение одонтогенного воспаления в гайморовых пазухах бесплатно
Расщепление альвеолярного гребня лазером при экстремальной атрофии бесплатно
Транссинус, смещение мембраны Шнейдера в пазухе при атрофии на в/ч бесплатно
![]() |
В стоимость акции полностью включен весь комплекс:
удаление зубов в подарок
постоянный керамокомпозито наполненный протез в подарок
с Вами работают Легендарные врачи челюстно-лицевые хирурги со стажем 25 лет работы в стационарах
Ортопеды-гнатологи со стажем 25 лет, являющиеся заведующими ортопедических отделений в ведущих федеральных центрах РФ.
Качество имплантов MIS и Nobel, сделанных из титана Grade 5Eli (Extra Low Interstitial- супер чистый) - наиболее веский аргумент для принятия решения среди пациентов перед операцией
Для ознакомления с международным сертификатом качества сплава -
Количество имплантов Noris и Nobel в рамках акции ограничено
Акция согласована с производителями и действительна до 31 декабря 2025 года
![]() |
![]() |
![]() |
![]() |
![]() |
![]() |
Наш девиз: КОМПЕТЕНЦИЯ ВСЕГДА

Это наше обычное состояние, без эксклюзива
Для нас нет сложных операций и это не является причиной к увеличению ее стоимости
Поэтому так:
Челюстно-лицевая хирургия высшей компетенции за заявленную на сайте стоимость
Если кто то сможет лучше )))
Мы сможем еще лучше и качественней

ЖИВАЯ РАБОТА с полным соблюдением протокола All on 4
Срок эксплуатации с 2014 года
![]() |
![]() |
![]() |
![]() |
![]() |
![]() |
![]() |
![]() |
![]() |
Во время операции мы не смотрим в зеркальце
Мы смотрим на экран с увеличением цифровой камеры от 3 х до 20 ти раз в формате - макро качества 4 К
![]() |
|
![]() |
Еще СТИХИ...
Кильку с аппетитом Ел в томаТе
Звонил за две копейки
В телефонном АвтоМате
Шли консервы само -То
Персонаж был - Дед Пих -То
Каток мы сами заливали
Воду вЁдрами таскали
А как только всПотевали
Жажду снегом утоляли
И совсем не гриппОвали
Лет минуло твенти Фо
Без зубов - не Комиль Фо
Надо делать ОЛЛ ОН ФО
Мы используем исключительно проверенные долгосрочной нагрузкой и временем от 25 лет премиум импланты 5-го поколения, оригинал из Швейцарии и США
| Торт от пациентов Юдиных |
![]() |
АКЦИЯ №2
АКЦИЯ №2. Установка зубов за один день под ключ на 4-х ИМПЛАНТАХ NORIS ЗА 1 ДЕНЬ
В стоимость акции полностью включен весь комплекс:
удаление зубов в подарок
постоянный керамокомпозитный протез в подарок
с Вами работают Легендарные врачи челюстно-лицевые хирурги со стажем 25 лет работы в стационарах
и ортопеды-гнатологи со стажем 25 лет и являющиеся заведующими ортопедических отделений в федеральных центрах РФ.
Смотрите качественные работы Видео в Я.Дзен постоянных протезов ЖМИ ...
ПРЕМИУМ ИМПЛАНТЫ
ИМПЛАНТАЦИЯ ЗУБОВ В СЕДАЦИИ
думал об операции,
теперь думаю о СЕДАЦИИ ?
Ответ прост:
Седация обнуляет Высшую нервную
деятельность,
и очищает причины для беспокойства.
Больше видео постоянных протезов по акции в нашем канале Я.ДЗЕН - ЖМИ!
MIS USA, Noris за 158 000 руб ( все зубы на 4 х имплантатах MIS, Noris)
12 зубов
237 000 руб ( всё на 6 ти )
14 зубов
Постоянный керамокомпозито-наполненный протез без оплаты,
не требующий перепротезирования,
Удаления зубов без оплаты
так же включены в стоимость акции.
Премиум Имплантаты из ТОП 10 МИРОВЫХ БРЕНДОВ
ПО ЦЕНЕ АЗИАТСКОГО ЭКОНОМ СЕГМЕНТА
В Цену: 158 000 руб(Все зубы на 4-х имплантатах Noris)
12 зубов
и 237 000 руб (Все зубы на 6-ти имплантатах Noris)
14 зубов
Установка 4-х Премиум имплантов Noris (Израиль-США) включена
Установка мультиюнит абатментов включена
Установка несъемных керамокомпозито-наполненных зубов, армирующий каркас в базе протеза на литой балке, титановой основе (постоянный протез в подарок) включен в стоимость.
С Вами работает Легендарная команда Глав врачей РФ
![]() |
![]() |
![]() |
![]() |
![]() |
![]() |
Изготовление (три примерки) и винтовая фиксация постоянного протеза включена в акцию
Удаление зубов, любой сложности бесплатно
Удаление кист, любой сложности и локализации в костной ткани бесплатно
Устранение одонтогенного воспаления в гайморовых пазухах бесплатно
Расщепление альвеолярного гребня лазером при экстремальной атрофии бесплатно
Транссинус, смещение мембраны Шнейдера в пазухе при атрофии на в/ч бесплатно
Балка армирующая базу протеза входит в стоимость
![]() |
![]() |
В стоимость 158 тыс мы включили удаления зубов, не зависимо от сложности, а так же постоянный керамокомпозито-наполненный протез без оплаты.
У нас нет молодых врачей, стаж каждого специалиста нашей команды превышает 25 лет и ещё в то постСоветское время каждый доктор получил Высшую категорию.
Мы постоянно повышаем свою квалификацию, участвуя в конференциях на ведущих мировых площадках.
Мы являемся экспертами в области челюстной хирургии и сложного протезирования.
При изготовлении протеза используется армирующее литьё и монтаж балки на титановой основе в базу протеза, тем самым мы даём возможность его долгосрочного использования. Зубы керамокомпозито-наполненные с керамическим нанонаполнителем(по износостойкости сравнимы со своими зубами).Так же мы используем технологию обновления этого протеза в случае необходимости (за 24 часа согласно прейскуранту), чтобы после адаптационного периода его не менять - обновление рекомендуется после 4-5 лет эксплуатации,
мы ставим запатентованный Постоянный протез сразу. Последние 25 лет мы ставим только оригинальные премиум импланты 5-го поколения, из США и ШВЕЙЦАРИИ. Всё, что Вы прочитали, включено в стоимость:
- 158 тыс. на 4х имплантах Noris
- 198 тыс. ALL ON 4 -NOBEL PARALLEL/Active CC
![]() |
![]() |
Пациенты задают вопрос:
Сколько прослужат зубы после операции ALL-ON-4?
Из какого они материала?
Какие по прочности зубы включены в стоимость?
Мы подготовили ответ, ссылаясь на заявленные характеристики производителем гарнитурных зубов из Японии и Германии:
- да, этот протез усилен балкой, армирующей базу протеза, и включен в стоимость
- гарнитурные зубы, в составе наполнения аналог кварца, прочный композитный нано наполнитель( кремниевый цемент) Япония или на основе высокомолекулярного полимера(PMMA) Германия
- тройная морфология повторяет природную послойность здорового зуба, флуорисцентность(свечение изнутри) включено в стоимость
- зубы изготавливаются под давлением 80 тонн и полимеризуются при температуре 150гр/С, что обеспечивает им прочность и долговечность - включены в стоимость
- повышенная адгезия(крепость) соединения гарнитурных зубов с базой(розовая десна), усиливает на молекулярном уровне целостность конструкции
- износостойкость по продолжительности к нагрузкам, сравнима с параметрами использования своих зубов
- протез армирован литой балкой(включено в стоимость) и весь каркас из металла прикручен к мультиюнит абатментам через титановые рукава для распределения функциональных нагрузок и сохранения всей работы на, еще не имеющих интеграцию с костью, стабильных имплантатах
-Мы исключили временное протезирование и подтвердили
успешность и экономичность нашей запатентованной методики,
установив более
50 000 имплантов
и нагрузив их немедленно
на
4-5 имплантах 12 зубов постоянный протез включен в стоимость
на
6 ти имплантах 14 зубов постоянный протез включен в стоимость
ДА
- постоянный протез включен в стоимость и не оплачивается
рассчитан для бессрочного использования
- мы используем технологию обновления этого протеза в случае необходимости и при желании пациента (за 24 часа согласно прейскуранту), чтобы после адаптационного периода его не менять, обновление рекомендуется после 4-5 лет эксплуатации
- на этапе протезирования после операции пациенту предлагаем выбрать цвет и оттенок по шкале VITA, а также форму зубов из 22-х видов гарнитур для максимальной эстетики(включено в стоимость)

All-on-4 цена
Цены на имплантацию по действующим акциям
| Виды имплантации | Цена, руб. |
|
БЕСПЛАТНО |
|
198 000
|
|
297 000
|
|
158 000
|
|
237 000
|
Ссылка на полный прайс-лист на имплантацию
Что означает пожизненная гарантия на All-on-4?
Давайте все-таки выясним, что значит утверждение ПРИЖИВАЕМОСТЬ И ПОЖИЗНЕННАЯ ГАРАНТИЯ?!
Так же необходимо знать, какие имплантаты клинически обоснованны для протокола нагрузки на 4-х имплантах?!
NOBEL запатентовал и обосновал клинический алгоритм со всем известной аббревиатурой ALL on 4
Подробнее об имплантатах NOBEL PARALLEL CC - переход на официальный сайт NOBEL ( ЖМИ СЮДА )
MIS запатентовал, клинически обосновал и имеет все комплектующие в том числе и Шаблон для угловой установки имплантатов
Аббревиатура MIS при одномоментном протезировании на 4 - х имплантах называется MULTIFIX и работает более 10 лет
ВЫВОД: СИСТЕМА ИМПЛАНТОВ ДОЛЖНА ИМЕТЬ КЛИНИЧЕСКИ ПОДТВЕРЖДЕННЫЙ ПРОТОКОЛ ТАКИЕ КАК ALL on 4 или MULTIFIX
А по поводу утверждения о ПРИЖИВАЕМОСТИ И ПОЖИЗНЕННОЙ ГАРАНТИИ - Все просто, импланты должны ПРИЖИТЬСЯ и быть в использовании массово под нагрузкой у пациентов более 20-ти лет
(это, на минуточку, установка имплантов MIS или NOBEL Biocare была с 1970-х по 1990-е годы.
Довольные пациенты, зубами на имплантах ЖУЮТ, УЛЫБАЮТСЯ и даже ВЛЮБЛЯЮТСЯ)!
К этой цифре нужно прибавить возраст пациента. Вот тогда и можно утверждать о ПОЖИЗНЕННОЙ ГАРАНТИИ.
Теперь официальные данные:
- импланты NOBEL Biocare под нагрузкой официально с 1978г.,
первый имплантат был установлен в 1965г., ТО ЕСТЬ БОЛЕЕ 50-ти ЛЕТ
- имплантаты MIS под нагрузкой официально с 1995г., ТО ЕСТЬ БОЛЕЕ 25-х ЛЕТ
Что такое All-on-4 имплантация?
Название метода сразу раскрывает смысл и количество предполагаемых к установке имплантатов.
Протокол олл он 4 подходит пациентам, в случае если терапевтическое сохранение своих зубов, с последующим протезированием, не показано и не принесет долгосрочных результатов.
В современной стоматологии условием сохранения корня разрушенного зуба должна являться долгосрочная гарантия. За лечение необходимо платить немалые деньги. Результат в данном аспекте важен только отдаленный, от 10 до 15 лет, с использованием своих опор под нагрузкой (не имплантатов) и обязан удовлетворять функциональным требованиям и вложенным в лечение средствам.
При принятии решения об использовании искусственных опор (имплантатов) в данном протоколе, пациент осознанно соглашается на удаление остатков всех зубов.
Видео - об установке 4 х имплантатов по шаблону под нужным углом наглядно
От оценки полной или частичной адентии (полного или частичного отсутствия зубов) проводится анализ и плотности костной ткани. Основная резобция (убыль) костной ткани происходит в дистальных отделах.
Верхняя и нижняя челюсть имеют разные навигационные ориентиры для установки дистальных имплантатов (установленных под углом) и глубины погружения. На верхней челюсти ограничением является ориентир, где отчетливо видно кривую петлю синуса гайморовой пазухи (мембрана Шнейдера). Для того, чтобы пазуха осталась целостной, не перфорированной, мы не выходим за этот ориентир при работе с костью и инсталляции имплантата.
Также на верхней челюсти важны условия погружения имплантата и плотность костной ткани. Начинаем погружение в губчатую костную ткань, так называемую трабекулярную костную ткань, плотность кости в этом слое всегда средняя и минус.
Далее мы проходим базальный слой костной ткани и на заданной глубине погружения имплантата заякореваемся в плотном слое, называемым кортикальный (панцирный).
На верхней челюсти для достижения ТОРКа (стабильности имплантата, относительно костной ткани,) необходима бикортикальная установка имплантата.
ТОРК – это величина стабильности имплантата при конечном погружении в кость (в гребень), определяется динамометрическим ключом, должна быть не менее 35-40 H/Cм2.
Интуитивно – это компрессионная плотность кости с жестким титаном имплантата. Для более полного понимания, есть точная конвертация: 10 H/Cм2 – это нагрузка в 1 кг, соответственно, каждый имплантат должен быть стабилен в костной ткани не менее 4 кг на Cм2, что является соотношением площади поверхности имплантата с прилегающей к нему костной тканью.
С нижней челюстью процесс более прагматичный в связи с тем, что конгломерат костной ткани не имеет пазух и является целостным. Установка происходит внутри двусторонних ментальных отверстий (окончаний нижнего альвеолярного нерва). Определение вертикальной и горизонтальной резорбции на нижней челюсти корректирует длину и диаметр установленных имплантатов. Костная ткань на нижней челюсти имеет среднюю плотность и выше.
Это ВАЖНО знать о протезировании по технологии ALL-ON-4:
Далее рассмотрим параметры введения протеза и что же все-таки такое балка и зачем она нужна. Самое важное условие при винтовой фиксации протеза к мультиюнит-аббатментам это его пассивное введение. Шахта титанового рукава в протезе должна четко и точно быть конгруэнтна шахте мультиюнит-абатмента. Введение болтика при винтовой фиксации и прикручивание протеза, не должно иметь внутреннего напряжения - дотяжка на 15 Н/см2 не должна иметь никаких боковых смещений. Также важно понимать, что на этом этапе, для успешного результата протез не дотягивается плотно к кости альвеолярного гребня, активно не дожимается, чтобы не было выталкивающего движения и негативного воздействия на незажившие имплантаты. Протез на первом этапе прилегает только к слизистой и функционирует на расстоянии зубной нити, между базой протеза и костными структурами гребня.
Сразу после операции делаем протез на балке, который входит в стоимость операции, для того чтобы нагрузка в 4 кг на каждый имплантат складывалась 4+4+4+4 а балка равномерно распределяла на все имплантаты для максимального исключения перегрузки (бруксизм) во время сна. Балка распределяет нагрузку на большую площадь. Работают все имплантаты установленные по протоколу All-on-4; самое важное исключить локальную нагрузку на один имплантат.
После операции и винтовой фиксации зубов, мы делаем силиконовые каппы (доступно как опция) и рекомендуем надевать на ночь, для адаптивного привыкания и сохранения всей проделанной работы.
Гарнитура зубов (Япония) с композитным нано наполнителем, высокомолекулярный полимер (PMMA) Германия – база розовая (эстетика) с алмазными фракциями.
Для расширения показаний в использовании керамокомпозито-наполненного протеза к постоянным нагрузкам сразу после операции, мы подвердили патентом успешность разработанной в нашей клинике технологии.
История метода
Разработкой технологии Allon4 занималась компания Nobel Biocare, она впервые и применила методику. Были проведены исследования, в ходе которых врачи доказали надежность и эффективность использование протокола Олл он фо.
Об All on 4 за несколько секунд
Смотри видео алгоритма "ВСЕ ЗУБЫ НА 4 х ИМПЛАНТАТАХ MIS/Noris " ЖМИ СЮДА ...
Так выглядят зубы сразу после операции
В чем уникальность имплантации «все на четырех»?
За один день Вы получаете новую, красивую, здоровую улыбку - это не фантастика, это реальность!
Работа все зубы за один день на 4х имплантатах выполнена в 2012 году без костной пластики одноэтапно. Зубы установлены сразу после операции All-0n-four.
![]() |
![]() |
![]() |
Зубы за один день фото до и после
Работа сделана в 2012 году
![]() |
![]() |
![]() |
Научное обоснование метода
Для наглядности основные механизмы костной пластики при классической имплантации представлены схемой
Смотри видео постоянных протезов "ВСЕ ЗУБЫ НА 4 х ИМПЛАНТАТАХ MIS (USA)/Noris " ЖМИ СЮДА ...
Преимущества имплантации All on 4 – плюсы и минусы
Эта позволяет улучшить качество жизни и восстановить функцию зубного ряда за 1 день. Есть неоспоримые преимущества этого метода перед другими протоколами имплантации. Основные достоинства технологии:
- пожизненная гарантия на импланты и работу доктора;
- постоянный керамокомпозито-наполненный протез - на восстановление зубного ряда требуется до 5 дней ;
- доказанная эффективность при полном отсутствии зубов;
- полное исключение всех рисков при цифровом планировании в программе 3 D VATECH компьютерной томографии;
- 100% достижение приживаемости имплантатов;
- у нас нет молодых врачей - 25 лет работы в челюстной хирургии и огромный клинический опыт в протоколе ALL ON 4;
- в стоимость акции включен постоянный протез на гибридной балке, армирующей базу протеза. Так же весь указанный комплекс работ абсолютно всех врачей челюстно-лицевого хирурга со стажем 25 лет и ортопеда-гнатолога высшей категории.
- у нас нет молодых врачей - мы эксперты в немедленной нагрузке и гнатологии.
![]() |
![]() |
![]() |
![]() |
![]() |
Керамокомпозито-наполненный диоксидом кремния протез на гибридной балке с титановой основой требует трех примерок после операции All-on-4 / All-on-6 и в отличии от металлопластмассовых адаптационных конструкций не требует перепротезирования
После имплантации All on 4 устанавливается керамокомпозито-наполненный протез. Он отличается высокой прочностью при мгновенной нагрузке. Такой протез имеет целый ряд преимуществ по сравнению с металлопластмассовыми конструкциями.
При возможных ночных тонических спазмах жевательной мускулатуры необходимо использовать капу (доступно как опция). Керамокомпозитные протезы не требуют последующей замены.
По сравнению с акрилом, композитные материалы имеют повышенную прочность, они состоят из органических смол и керамики. Полимер в композитных материалах наносится послойно, что позволяет получить требуемую светопроницаемость и естественный цвет зубов.
Зубы с крошкой из неорганической керамики и органическими смолами производства Japan практически полностью имитируют натуральную эмаль, со временем не меняют свой цвет. Благодаря широкому спектру цветов обеспечивается точный подбор оттенков. Соблюдается морфологическая особенность натуральных зубов. Композит отличается повышенными адгезионными свойствами благодаря которым обеспечивается надежная фиксация на основании.
![]() |
Литая балка в каркасе протеза армирована поясом на титановой основе, что значительно увеличивает прочность конструкции в целом.
Используемые виды керамокомпозитных материалов иммитируют эмаль зуба: Уретандиметакрилат{UDMA} в составе Кремниевый цемент
- Фотополимеризуемые микрогибридные композиты. Это вязкие эластичные составы, содержащие полимерную матрицу и керамический наполнитель.
Постоянный гибридный керамокомпозито-наполненный протез на ( балке-прототип Nobel Bar> включена в стоимость акции ), армирующей базу протеза, равномерно распределяет выламывающие горизонтальные тризмы, при переходе от адаптационных к постоянным нагрузкам, считается постоянной конструкцией для долгосрочного использования.
![]() |
Для вертикальных аксиальных выкусывающих нагрузок так же доступна индивидуальная запатентованная технологичная гибридная балка с поддержкой каждого зуба. Балка-гребенка доступна как опция, изготавливается индивидуально по Лицензионному договору. Используется при невозможности полностью погрузить имплантат в альвеолярную кость пациента, при наличии выраженной атрофии альвеолярного гребня, наличии лунок и дефицита костной ткани для удержания имплантата от недопустимых колебаний и смещения в зону дефекта.
![]() |
Остеопластические материалы рассчитываются согласно прейскуранту. Стоимость Акции актуальна при возможности установить-погрузить имплантат в кость альвеолярного гребня пациента. Цель: распределить жевательную нагрузку всей площадью поверхности имплантата в кость, чтобы снять риски перегрузки, для достижения остеоинтеграции.
![]() |
![]() |
![]() |
![]() |
![]() |
![]() |
Виды имплантов
20 лет ставим только премиум импланты 5 го поколения, оригинал из США и ШВЕЙЦАРИИ с 25-ти и 50-ти летним реальным сроком эксплуатации под нагрузкой, прижившиеся еще в 1978 году у миллионов довольных пациентов!
Импланты Nobel Biocare (SWISS Швейцария)
САМЫЕ ПЕРЕДОВЫЕ И НАДЕЖНЫЕ ИМПЛАНТЫ В МИРЕ Nobel Biocare (SWISS)
Подробнее об имплантатах NOBEL PARALLEL/Active CC - переход на официальный сайт NOBEL ( ЖМИ СЮДА )
Импланты NOBEL Biocare под нагрузкой официально с 1978г.
Мы не ограничены в выборе нужного диаметра и длины имплантата во время операции. В наличии всегда 500 штук каждой системы. За счёт объёма и отсутствия утверждения "сложная операция" мы можем предложить приемлемую цену для пациента.
НА ВСЕ УСТАНОВЛЕННЫЕ У НАС ИМПЛАНТАТЫ ВЫДАЁТСЯ ПАСПОРТ ПРОИЗВОДИТЕЛЯ NOBEL, MIS, NORIS С УНИКАЛЬНЫМ ЛОТОМ КАЖДОГО ИМПЛАНТАТА, ДЕЙСТВИТЕЛЬНЫЙ В ЛЮБОЙ ТОЧКЕ МИРА С ПОЖИЗНЕННОЙ ГАРАНТИЕЙ
Импланты NOBEL Parallel CC/Active CC бесспорно занимают 1 е место по приживаемости в мире, 50 лет под нагрузкой
![]() |
![]() |
Импланты MIS (USA) уверенно занимают 8 е место в мировом рейтинге по приживаемости, 25 лет стабильности
![]() |
Имплантаты MIS под нагрузкой официально с 1995г.,
ТО ЕСТЬ БОЛЕЕ 25-х ЛЕТ
Этапы и методика проведения имплантации
![]() |
![]() |
![]() |
![]() |
![]() |
Всё лечение ALL-ON-4 занимает от 1 до 3 дней и состоит из нескольких этапов:
- Первый визит в клинику
Выполняется 3 D моделирование будущей конструкции и улыбки. Благодаря компьютерным технологиям, удается наиболее точно выбрать место для установки и обеспечить правильное расположение боковых имплантатов. Изготовление слепков.
- Операция
Установка имплантов по протоколу All-on-4. По показаниям, возможна установка имплантов малоинвазивным способом БЕСКРОВНО с помощью прокола лазерным скальпелем. Создается опора для протеза и его винтовой фиксации.
- Протезирование возможно в день операции.
![]() |
![]() |
![]() |
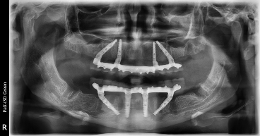
All-on-4 на рентгеновских снимках
![]() |
![]() |
![]() |
Во время операции
Смотри Видео операции с постоянным протезом MIS MULTIFIX, Noris Жми СЮДА ...
![]() |
![]() |
![]() |
Как выглядит результат в день имплантации
Фото сразу после операции "зубы за 1 день"
![]() |
![]() |
![]() |
Альтернативные виды имплантации – All-on-6 Всё на шести
All-on-6 - это установка всех зубов на 6-ти имплантах.
All on Four/ Six Дуга с несъемными зубами на литой балке армированная металлическим каркасом
усиленная в основании титановыми рукавами не требует перепротезирования
Стоимость ALL-0N-6 ВСЁ НА ШЕСТИ :
297 000 руб одна челюсть - импланты Nobel Biocare (SWISS)
14 зубов
237 000 руб одна челюсть - импланты MIS (USA)/Noris
14 зубов
В стоимость акции полностью включен весь указанный комплекс работ абсолютно всех врачей челюстно-лицевого хирурга и ортопеда-гнатолога. Постоянный протез включен в стоимость акции в подарок.
ЖМИ НА ФОТО, УВЕЛИЧИВАЙ, ВНИКАЙ
Постоянная работа All on 6 по протоколу ЗУБЫ ЗА ОДИН ДЕНЬ выполнена март 2019 года.
![]() |
![]() |
![]() |
Постоянное протезирование выполнено по протоколу All-on-6 в 2013 году.
![]() |
![]() |
![]() |
Что входит в стоимость операции All on 4 ВСЁ НА 4 Х ?
- Установка 4-х премиум имплантов включена
- Установка мультиюнит абатментов включена
- Установка несъемных керамокомпозито-наполненных зубов, армированных литой балкой и каркасом на титановой основе включена в стоимость акции и не требует перепротезирования
- Винтовая фиксация включена
- Удаление зубов, любой сложности бесплатно
- Удаление кист, любой сложности и локализации в костной ткани бесплатно
- Устранение одонтогенного воспаления в гайморовых пазухах бесплатно
- Расщепление альвеолярного гребня лазером при экстремальной атрофии бесплатно
- Транссинус, смещение мембраны Шнейдера в пазухе при атрофии на в/ч бесплатно
- В стоимость акции полностью включен весь указанный комплекс работ абсолютно всех врачей - челюстно-лицевого хирурга и ортопеда.
Показания к имплантации по методу All on four
Протокол олл он 4 подойдет пациентам, которым терапевтическое сохранение своих зубов, с последующим протезированием, не показано и не принесет долгосрочных результатов.
Подробнее об All-on-4 - по ссылке
Особенности операции
- Для восстановления зубного ряда требуется 4 имплантата.
- Боковые имплантаты устанавливаются под наклоном.
- Установка протеза возможна сразу после операции, в случае если протез адаптационный. Мы делаем постоянный протез сразу без оплаты, применяемые технологии требуют три примерки 5-7 дней.
- Агрессивная пластика костной ткани не требуется.
- Лечение проходит с применением самых современных технологий, оборудования и инструментов.
Имплантация: фото ДО и ПОСЛЕ
Allon4 видео ролики
Еще больше видео с постоянными протезированием сразу после имплантации - на нашем Дзен-канале! Жмите сюда>>
Надежность системы «Все на четырех»
В своей работе по протоколу All-on-4 мы используем только импланты ПРЕМИУМ сегмента из Швейцарии и США.
На все импланты, которые устанавливаем мы, действует ОФИЦИАЛЬНАЯ пожизненная гарантия.
План визитов в клинику
Первое посещение: цифровое моделирование операции ВСЁ НА 4 Х, слепки. Время - 40 минут.
![]() |
![]() |
![]() |
Второе посещение: операция и протезирование. Время - 1 час 40 минут на обе челюсти (одна челюсть - 50 минут).
![]() |
![]() |
![]() |
![]() |
![]() |
![]() |
![]() |
![]() |
![]() |
Памятка нашим пациентам
Интеграция имплантатов в костную ткань длится около 6 месяцев. Нужно соблюдать простые рекомендации:
- гигиена полости рта, омывание антисептиком (хлоргексидин, ванночки) без создания отсасывающего давления в области швов
- отказаться от пищи в течение двух часов после операции;
- спать первые сутки лежа на спине на подушке выше обычного положения;
- прикладывать лед в первые сутки после операции;
- избегать физических нагрузок, стараться не наклонять голову вниз;
- отказаться от посещения бани или сауны;
- не принимать горячую, острую, соленую, сладкую и кислую пищу.
После операции ЗУБЫ ЗА 1 ДЕНЬ особенно важно уделять внимание правильной чистке зубов, ее необходимо проводить минимум два раза в день. Следует отказаться от зубной нити, деликатно очищать зубы в местах вживления. В первые недели будут полезны ванночки с хлоргексидином. Для чистки зубов лучше использовать ирригатор для полости рта.
В первые недели после операции ВСЕ НА 4 х необходимо воздерживаться от твердой и жесткой пищи, следует исключить алкоголь. Пациентам рекомендовано посещение стоматологической клиники не реже одного раза в полгода.
Отвечаем на вопросы пациентов
Любой волнующий Вас вопрос об имплантации Вы можете задать по телефону: 8 (495) 609-39-84.
НАЖМИТЕ НА КАРТИНКУ:

Приходите на первую БЕСПЛАТНУЮ консультацию!
Первичная консультация All-on-4 включает:
- профессиональную фотосессию,
- цифровой дизайн зубов (улыбки),
- цифровое моделирование операции имплантации.
Как рассчитать стоимость имплантации?
У нас нет калькулятора стоимости - ПОТОМУ ЧТО В СТОИМОСТЬ ВКЛЮЧЕНЫ ВСЕ ВОЗМОЖНЫЕ МАНИПУЛЯЦИИ указанные на сайте и постоянный протез.
В настоящий момент на имплантацию по протоколу All-on-4 действуют акционные цены:
| ВИДЫ УСЛУГ | ЦЕНА |
| руб. | |
|
Первичная консультация:
|
БЕСПЛАТНО |
| Операция имплантации, All-on-4 премиум система Nobel Biocare Parallel/Active CC (SWISS) с установкой мультиюнит абатментов, одна челюсть (постоянный композитный протез на стандартной балке включен в стоимость) | 198 000 |
| Операция имплантации All-on-6 Nobel все включено (постоянный композитный протез на стандартной балке включен в стоимость) | 297 000 |
| Операция имплантации, все зубы на четырех имплантатах MIS (Израиль-США)/Noris с установкой мультиюнит абатментов, одна челюсть (постоянный композитный протез на стандартной балке включен в стоимость) | 158 000 |
| Операция имплантации все на 6ти имплантатах MIS/Noris все включено (постоянный композитный протез на стандартной балке включен в стоимость) | 237 000 |
Закажите звонок и запишитесь на первую бесплатную консультацию!
НАЖМИТЕ НА КАРТИНКУ:

Есть ли скидки для пенсионеров?
По поводу имплантации All-on-4, как правило, обращаются именно люди пенсионного возраста, хотя эта операция может быть показана и более молодым пациентам.
Наша клиника сотрудничает напрямую с ведущими производителями имплантов премиум-класса и может предложить хорошую скидку на имплантацию.
Стоимость имплантации для пенсионеров по текущей акции:
- В стоимость акции включен постоянный протез, а так же весь комплекс работ, указанный на сайте абсолютно всех врачей - челюстно-лицевого хирурга и ортопеда.
- All on 4 НА ИМПЛАНТАХ NOBEL BIOCARE (SWISS Швейцария) ЗА ОДИН ДЕНЬ, ВСЕ ВКЛЮЧЕНО по методтке ALLON4 - 198 000 руб за одну челюсть
- Все зубы на 4 х ИМПЛАНТАХ MIS DENTSPLY (USA США)/ Noris ЗА 1 ДЕНЬ, ТАКЖЕ ВСЕ ВКЛЮЧЕНО по протоколу ALLON4- 158 000 руб за одну челюсть
Можно ли приехать к вам на консультацию ALL-ON-4, если я не из Москвы?
Конечно!
Мы находимся в Пресненском районе 3 км до Кремля.
Это историческое и культурное наследие СТОЛИЦЫ. Наша хирургическая клиника уже более 20-ти лет расположена в 200-х метрах от метро ул. 1905 года.
В радиусе 500 метров предлагают свои услуги размещения наших пациентов множество мини гостиниц с прекрасным сервисом и завтраком с вполне приемлемой стоимостью от 2 тыс. руб. за сутки проживания.
Композитные Японские зубы на литой балке с надежной винтовой фиксацией получить легко и доступно. И жить и жевать комфортно дооолгие годы. При этом посетить самое сердце Столицы!
Будем рады видеть Вас в клинике НЕВАТЕКС.МОСКВА на бесплатной консультации!
Желательно предварительно записаться и забронировать время. Мы постараемся подтвердить Ваши ожидания.
НАЖМИТЕ НА КАРТИНКУ:

Какие ограничения до и после имплантации ОЛЛ ОН ФО?
Ограничения минимальны! Прочитайте краткую памятку по ссылке>>
Каковы сроки проведения операции?
От Вас потребуется всего 40 минут на первичной консультации, включающей цифровое моделирование улыбки и изготовление слепков, и 1 час 40 минут - сама операция по протезированию обеих челюстей. Операция Allon4 на одной челюсти займет 50 минут.
Эстетика виниров
Виниры. Суперэстетика. Внутренний объем. Внутренняя флуоресцентность. Микрорельеф. Макрорельеф.
Идеально подходящая форма зубов под параметры лица. Прозрачный режущий край. Правильная форма прорезывания десны. Здоровый цвет десны. Зубы под винирами живые.
Цвет 4-5 оттенков по шкале VITA.
Профессиональная цифровая фотосессия.
Гарантия пожизненно.
Материал: ДИСИЛИКАТ ЛИТИЯ IPS E.MAX. Стеклокерамика на основе дисиликата лития (LS2) идеально подходит для изготовления монолитных одиночных реставраций. Эта инновационная керамика показывает превосходные эстетические качества, перед другими стеклокерамиками имеет более высокую прочность, может использоваться для изготовления мостовых групп.
![]() |
![]() |
![]() |
Примеры работ All on 4 на сайте все реальные.Смотрите Видео Отзывы пациентов в начале страницы.Что выбрать - ALL on 4 или ALL inclusive? Для первого знакомства важно понимать, что All inclusive и бесплатный трансфер из аэропорта к протоколу ALLON4 не имеет никакого отношения. На сайте нет рекламы, не подтверждённой реальными пациентами и реальными работами, а их более 10 тысяч, за 20 лет работы с дентальными имплантами. Мы не покупаем отзывы, не верим в платные интервью и считаем, что пациенту нужно посмотреть зубы, а не слова.
Мы уверены, что пациенту важно видеть и понимать полный кейс ALL-ON-4, чтобы оценить, примерить на себя реальные зубы в полости рта, а не платное собеседование с пациентом на камеру. Мы не претендуем на истину - мы качественно и довольно давно выполняем протокол немедленной нагрузки на 4-х имплантах, а точнее более 20 лет.
|
Пример 1. Имплантация при ярко выраженной атрофии костной ткани
В данном случае ярко выражена атрофия костной ткани, следовательно нет возможности постановки зубного имплантата. Есть показания к увеличению костного объема.
Был произведен забор и перемещение костного трансплантата внутриорально. Далее осуществлена аугментация с использованием аллогенного костного материала Bio-Oss с использованием обогащенной тромбоцитами плазмы PRP, факторов роста.
Были задействованы механизмы регенерации:
- Остеобластический остеогенез
- Остеокондуктивный остеогенез
- Остеоиндуктивный остеогенез
- Стимулированный остеогенез
На фото ниже можно увидеть приживленный деминерализованный костный трансплантат, процесс последующей установки зубного имплантата. Срок ожидания полного приживания трансплантанта: 3-5 месяцев.
Далее производится пластика мягких тканей, вестибулопластика, в завершении - протезирование зубов.
![]() |
![]() |
![]() |
Пример 2. Имплантация при генерализованном пародонтите
Результат - отдаленный, более 5 лет. Работа проводилась в несколько этапов:
- Август 2011 года - был увеличен костный объем;
- Январь 2012 года установлены имплантаты;
- Август 2012 - имплантация зубов на 4 имплантах завершена "под ключ".
Пациентка оплачивала работу в рассрочку 2011-2012 г, ежемесячно, равными частями, воспользовавшись беспроцентной рассрочкой, предоставленной нашим банком-партнером ВТБ. В благодарность, она любезно разрешила опубликовать ее личные и контактные данные: Смирнова Нина Михайловна, 1956 года рождения, телефон 8 (916) 828-45-89. Вполне возможно, что если у нее будет время и настроение, она ответит Вам на пару неназойливых вопросов :)
Все пять лет мы проводили осмотры и интересовались сменой ощущений. Основной посыл таков: С новыми зубами абсолютная уверенность при общении. Достигнуто максимальное удовлетворение от самой себя и возможно уровень самооценки превзошел самые смелые ожидания.
Диагноз пациента - генерализованный пародонтит
Работа выполнена по протоколу "Зубы за один день"
Смотри Видео операции с постоянным протезом MIS MULTIFIX, Noris Жми СЮДА ...
Наша клиника
Клиника "НЕВАТЕКС" основана в 2002 году и на счету наших хирургов более 5000 операций.
Мы серьезная команда челюстно-лицевых хирургов и ортопедов высшей категории. С обширным опытом работы в пластической и лицевой хирургии. Наши доктора также ведут приём в стационарах. Мы многое можем и постараемся оправдать Ваши ожидания.
Смотрите другие живые ролики из нашей клиники на Яндекс Дзен
Все инструменты в клинике проходят стерилизацию класса B.
В своей работе мы используем только передовые технологии и современное цифровое оборудование.
![]() |
![]() |
![]() |
![]() |
Получите второе, третье, четвёртое и Наше экспертное мнение
Если вы уже консультировались у врача другой клиники, то не будет лишним пройти ещё несколько клиник.
При полном понимании предложения, стоимости, квалификации докторов.
Мы постараемся превысить Ваши ожидания во всех аспектах.
Желательно предварительно записаться и забронировать время. Мы постараемся превысить Ваши ожидания.
При Вашем желании, мы сами Вам перезвоним и запишем на бесплатную консультацию.
НАЖМИТЕ НА КАРТИНКУ:

Наши доктора
Все доктора нашей клиники - дипломированные специалисты с большим опытом работы, постоянно повышающие квалификацию в своей сфере, обучаясь на ведущих мировых площадках и конференциях.
Мы - серьезная команда челюстно-лицевых хирургов и ортопедов высшей категории.
Доктора дипломированы по самым высшим критериям международной оценки с учетом анализа многолетних клинических результатов в немедленной стабильности и нагрузке.
Обучаем ортодонтов - Авторский курс по Челюстно лицевой хирургии
Челюстно лицевые хирурги - имплантологи, имеют огромный опыт работы в пластической и лицевой хирургии, в том числе в условиях стационара.
![]() |
![]() |
![]() |
Наши преимущества
- Современная цифровая хирургическая клиника, оснащенная по последнему слову цифровой диагностики
- Высококлассные доктора с опытом ALLON4 (ВСЁ НА 4 Х) - более 15000 операций
- Импланты, костно-пластические, шовные материалы только премиум сегмента
- Операцию без боли и нервов - ДЕЛАЕМ БОЛЕЕ 10 ЛЕТ
- Бесплатная диагностика и первая консультация
Для записи НАЖМИТЕ НА КАРТИНКУ:

- Пожизненная гарантия на имплантацию
- Индивидуальный подход к любому пациенту
План действий
- Запишитесь на первую бесплатную консультацию, включающую: профессиональную фотосессию, цифровой дизайн зубов (улыбки), цифровое моделирование операции имплантации.
Для записи НАЖМИТЕ НА КАРТИНКУ:

- Операция и протезирование All-on-4
- ВСЁ на 4 х
Стоматологическая клиника Имплантмен в Москве приглашает вас на лечение зубов по доступным ценам. Наша клиника предоставляет качественные стоматологические услуги для взрослых и детей, гарантируя высокий уровень сервиса и передовые методики в области стоматологии. Если вам важно найти клинику , где можно решить проблемы со здоровьем зубов без переплат, мы будем рады вам помочь!
Врачи клиники Имплантмен понимают, как важно для каждого пациента получить квалифицированное лечение по доступной цене, поэтому мы предлагаем широкий спектр услуг, включая терапевтическую стоматологию, ортопедию, хирургическое лечение и имплантацию. Опытные врачи, современное оборудование и индивидуальный подход позволяют нам успешно выполнять даже самые сложные случаи.
Платная стоматология: доступное качество
Многих пациентов интересует, сколько стоит лечение в частной клинике. Имплантмен старается сделать платные услуги доступными, сохраняя высокие стандарты качества. Мы предлагаем:
-
Первичный осмотр и консультацию для определения точного плана лечения.
-
Полный спектр стоматологических услуг – от профилактики до сложной хирургии.
-
Гибкие условия оплаты и специальные предложения.
Также в клинике предусмотрена запись онлайн и возможность выбрать удобное время для посещения врача. Наши администраторы всегда готовы ответить на все ваши вопросы о стоимости и особенностях протоколов лечения , чтобы сделать посещение стоматолога максимально комфортным.
Почему выбирают стоматологию Иплантмен
Клиника Имплантмен стремится быть надежной многопрофильной стоматологией, к нам можно обратиться по любому вопросу, касающемуся здоровья зубов. Мы обеспечиваем полный спектр услуг, подходящих для всех возрастов – от детей до людей пенсионного возраста, чтобы ваша семья могла найти решение всех стоматологических задач в одном месте.
Преимущества нашей клиники:
-
Квалифицированные специалисты с опытом более 20 лет
-
Современное оборудование и передовые методики лечения
-
Доступные цены и прозрачная система оплаты
-
Удобное расположение в Москве и гибкий график работы
-
Индивидуальный подход к каждому пациенту
Каждый пациент для нас – это отдельная история, и мы стремимся создать атмосферу доверия и заботы. Будь то лечение кариеса, профессиональная чистка зубов или имплантация – мы подходим к каждому случаю с вниманием и заботой.
Лечение зубов в Москве
Лечение зубов в Имплантмен – это не просто стандартная процедура, а персонализированный подход к здоровью ваших зубов и десен. В Имплантмен вы получите качественные услуги, недорогое лечение и профессиональный уход за полостью рта. Записаться к врачу и узнать, сколько стоит лечение, вы можете через наш сайт или позвонив по указанным телефонам.
Выбирайте клинику Имплантмен, чтобы с уверенностью доверить нам здоровье своей улыбки!
|
|




















.jpg)
.jpg)















.gif)






















.jpg)















.png)







.png)

.jpg)
.jpg)
.jpg)





























.png)




.gif)









.jpg)
.jpg)








.png)
